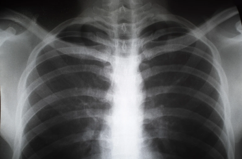
지역사회성 폐렴(Community-Acquired Pneumonia, CAP)은 병원이 아닌 지역사회에서 발생한 폐렴을 말합니다. 이는 폐렴의 가장 일반적인 형태로, 전 세계적으로 높은 발생률과 사망률을 보이며, 특히 고령자, 면역력이 약한 사람들, 만성질환을 가진 사람들에게 큰 위험을 초래할 수 있습니다. 지역사회성 폐렴은 다양한 원인균에 의해 발생할 수 있으며, 이에 대한 적절한 치료가 이루어지지 않으면 심각한 합병증을 초래할 수 있습니다.1. 지역사회성 폐렴의 원인지역사회성 폐렴의 원인은 주로 세균, 바이러스, 진균 등 다양한 병원체가 있습니다. 이를 구체적으로 살펴보면 다음과 같습니다.1) 세균성 원인폐렴구균(Streptococcus pneumoniae): 지역사회성 폐렴의 가장 흔한 원인균으로,..